L’échographie thyroïdienne est l’examen de référence, en première intention dans l’expertise du nodule thyroïdien. L’ensemble des caractéristiques échographiques du nodule doivent être décrites et doivent conduire à la classification TIRADS de chaque lésion significative. La version utilisée, harmonisée à l’échelle européenne depuis 2017 est l’EU-TIRADS 2017 qui comprend 4 catégories de risque allant de 2 à 5 (La catégorie 1 correspondant à l’absence de nodule). L’évaluation du niveau de risque à l’échographie repose sur des critères validés : échogénéicité, contours, présence ou non de microcalcifications, forme. La vascularisation devient, dans la nouvelle classification, un critère mineur, ainsi que l’élastographie. La taille du nodule n’intervient pas dans la classification elle-même mais détermine, en fonction du grade TIRADS, l’indication ou non de cytoponction diagnostique.

Ces deux informations : Grade TIRADS et Taille, sont donc incontournables. 

Les lésions de moins de 7mm et à distance de la capsule thyroïdienne sont non significatives et ne justifie aucune classification ni investigation complémentaire en dehors de la surveillance simple. 

EU-TIRADS 2

Cette catégorie regroupe les lésions kystiques, à prédominance anéchogène +/- cloisonnées et les nodules exclusivement spongiformes à petites ou grandes mailles. 

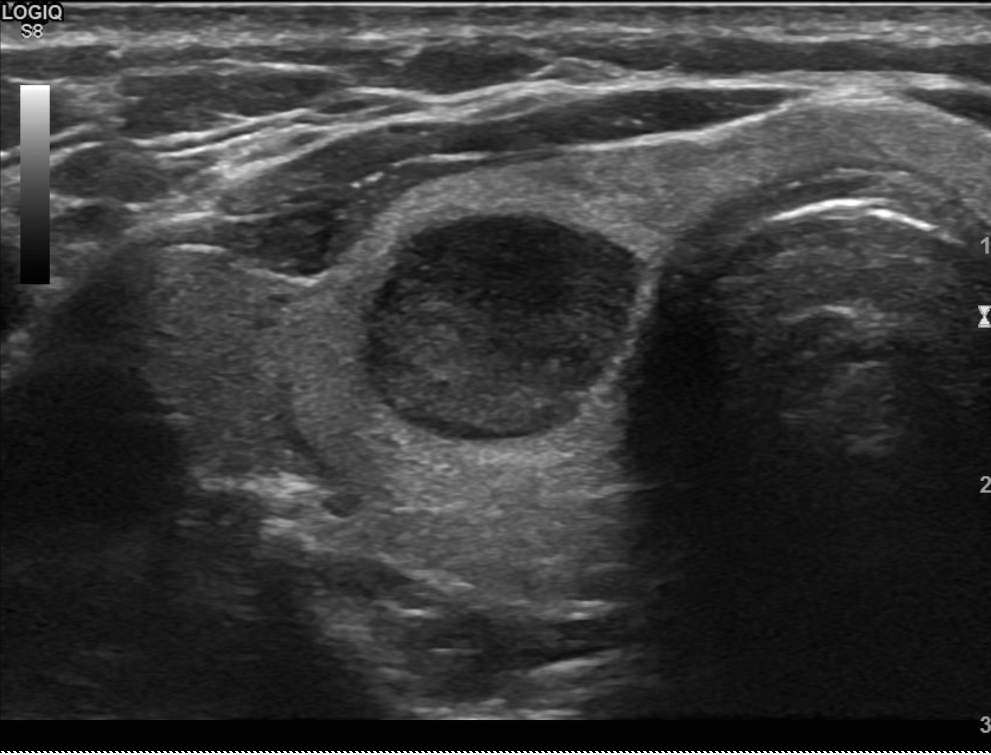
EU-TIRADS 3

Les nodules classés EU-TIRADS 3 sont tissulaires ou à prédominance tissulaire, isoéchogène par rapport au tissu thyroïdien péri-nodulaire et bien limités avec une capsule périphérique souvent bien visible. Il s’agit des nodules les plus fréquents. 

EU-TIRADS 4

Un nodule EU-TIRADS 4 est un nodule à prédominance tissulaire hypoéchogène par rapport au tissu péri-nodulaire sans dépasser l’hypoéchogénéicité des muscles cervicaux. 

EU-TIRADS 5

Un nodule thyroïdien est classé EU-TIRADS 5 à partir du moment où il existe un ou plusieurs signes forts parmi : contours irréguliers, fortement hypoéchogène, microcalcifications, forme non ovalaire. En fonction du nombre de critères le risque de malignité varie entre 26 et 87%.